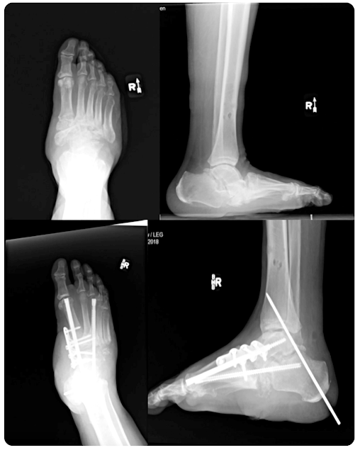
Artropatía de Charcot bilateral tratada con constructos de perno-viga en el contexto de úlceras unilaterales del pie
- Dos pacientes diabéticos tipo 2 presentaron artropatía de Charcot bilateral con colapso del mediopié y presencia de ulceraciones en un lado del pie.
- La extremidad ulcerada de cada paciente se trató quirúrgicamente con pernos de fusión, vigas y placas en el contexto de una ulceración abierta.
- Las extremidades bilaterales se trataron quirúrgicamente y se procedió a la consolidación ósea y la cicatrización de la herida.
- La artropatía de Charcot con úlceras abiertas se puede tratar de forma aguda con desbridamiento, resección de hueso y artrodesis.
- Es posible que no sea necesario esperar a que las úlceras cicatricen antes de realizar la fijación interna en todas las situaciones.
https://pubmed.ncbi.nlm.nih.gov/34242208/
Sims M, Foropoulos L, Bettin C. Bilateral Charcot Arthropathy Treated with Bolt-Beam Constructs in the Setting of Unilateral Foot Ulcers: A Report of 2 Cases. JBJS Case Connect. 2021 Jul 9;11(3). doi: 10.2106/JBJS.CC.20.00661. PMID: 34242208.


No hay comentarios:
Publicar un comentario